#Tumorpathologie Übungsfragen – Tumorpathologie

📊 Lernstatistik

Lernzeit: 00:00:00
Richtig: 0
Falsch: 0
Gelernt: 0
Gesamtfragen: 0
Ziel: 3x richtig pro Tag

Übungsfragen: Tumorpathologie

Klicke auf „Antwort zeigen", um die Lösung anzuzeigen. Inhalte basieren auf der Vorlesung „Pathologie für Zahnmediziner:innen – Tumorpathologie". Tastaturnavigation: ↑↓ Pfeiltasten zum Navigieren, Enter zum Öffnen/Schließen, A für alle öffnen, S für alle schließen. Selbstbewertung: Alt/Option = Falsch, Cmd = Richtig.

5) (Folie 5) Wie werden zentrale Begriffe definiert?

Tumor = „Schwellung“ (kann entzündlich, degenerativ oder „echter“ Tumor sein). „Echter Tumor“ = Neoplasie/Neoplasma = Neubildung. Hamartom = Gewebsüberschuss- und Fehlbildung.

6) (Folie 6) Was kennzeichnet Tumor/Neoplasie pathogenetisch?

Zell- und Gewebsvermehrung, die nach Wegfall der auslösenden Ursache persistiert; klonale Entstehung aus einer Zelle; Vererbung der biologischen Eigenschaften auf Tochterzellen.

7) (Folie 7) Aus welchen Komponenten besteht ein Tumor?

Tumorzellen (neoplastische Zellen), Tumorstroma (Bindegewebe/Gefäße), häufig begleitende Entzündungszellen.

8) (Folie 8) Wie wird die Tumor-Nomenklatur grundsätzlich abgeleitet?

Nach Ursprungszelle/Architektur. Benigne Epithel: Adenom (drüsig), Papillom (papillär). Maligne: Karzinom (epithelial), Sarkom (mesenchymal), Lymphom (lymphatisches Gewebe). Besonderheit: Teratom (mehrere Keimblätter: Ekto-/Ento-/Mesoderm).

9) (Folie 9) Welche Kapitel folgen nach den Definitionen?

Wiederholung der Agenda: Benignität vs. Malignität; Dysplasie; Tumorgenese (formal/molekular); Grading & Staging.

10) (Folie 10) Welche Entscheidungsfragen leiten die Unterscheidung gutartig/bösartig?

Für Patient:in/Behandler:in/Patholog:in: „gut oder böse?“ – basiert auf Morphologie, Tumorklassifikation, Lokalisation, Malignitätsgrad (Grading), Ausdehnung (Staging); diese determinieren Prognose und Therapie.

11) (Folie 11) Was sind makroskopische Unterschiede zwischen benignen und malignen Tumoren?

Benigne: glatt begrenzt, expansives Wachstum mit Kompression der Umgebung (z. B. uterines Leiomyom). Maligne: unscharf begrenzt, Infiltration/Invasion/Destruktion (z. B. invasives Mammakarzinom).

12) (Folie 12) Was sind mikroskopische Unterschiede – Histologie (epithelial)?

Benigne: gut differenziert (z. B. Plattenepithelpapillom). Maligne: Differenzierungsabschwächung/-verlust, Zellpolymorphie (z. B. wenig differenziertes Plattenepithelkarzinom).

13) (Folie 13) Was sind mikroskopische Unterschiede – Histologie (mesenchymal)?

Benignes Leiomyom: gleichförmige spindelige Zellen, gut differenziert. Leiomyosarkom: Polymorphie, Atypien, erhöhte Zellulärität, Hinweis auf Malignität.

14) (Folie 14) Was sind mikroskopische Unterschiede – Kerne?

Benigne: keine oder geringe Atypien, ggf. Polyploidie. Maligne: Kernvergrößerung, Polymorphie, Anisonukleose, Hyperchromasie, vermehrte/auffällige Nukleoli – illustriert am Vergleich Leiomyom vs. Leiomyosarkom.

15) (Folie 15) Welches Mitosen-Muster unterscheidet benign von malign?

Benigne: seltene Mitosen (ggf. etwas häufiger). Maligne: selten bis zahlreich, oft atypische Mitosen (z. B. tripolare Mitose) als Anaplasiezeichen.

16) (Folie 16) Welche Rolle spielt Proliferation (Ki-67) und Apoptose?

Wachstum ergibt sich aus ΔProliferation – ΔApoptose pro Zeit; benigne meist langsam, maligne von langsam bis schnell (Beispielbild: Urothelkarzinom).

17) (Folie 17) Was unterscheidet das Verhalten hinsichtlich Metastasierung?

Benigne metastasieren nicht. Maligne metastasieren – gezeigt am Beispiel eines metastasierten Bronchialkarzinoms.

18) (Folie 18) Was sind „semimaligne“ Tumoren?

Tumoren mit lokaler Invasion, aber ohne Metastasierung; klassisches Beispiel: Basalzellkarzinom der Haut (invasiv destruktiv, aber nicht metastasierend).

19) (Folie 19) Welche Themen folgen nach der Benignität/Malignität?

Übergang zum Kapitel Dysplasie; danach Tumorgenese, Grading & Staging.

20) (Folie 20) Was bedeutet „Dysplasie“ allgemein und epithelial?

Allgemein: zelluläre/histologische Abweichung von der Norm. Epitheliale Dysplasie (intraepitheliale Neoplasie): gestörte Gewebedifferenzierung mit Verlust der Architektur, Zellformvariationen, Kernatypien und erhöhter Mitosezahl.

21) (Folie 21) Wie wird Dysplasie graduiert und was ist ihre klinische Bedeutung?

Graduierung: gering-/mäßiggradig („low“, Grad 1/2) vs. schwergradig („high“, Grad 3). Leicht/mäßig: potenziell reversibel. Schwer: Präkanzerose. Beispielbilder: cervikale Intraepitheliale Neoplasien (CIN).

22) (Folie 22) Was ist ein Carcinoma in situ des Plattenepithels?

Komplette Aufhebung der Epithelarchitektur mit starken Atypien in der gesamten Epithelhöhe, aber ohne Invasion der Basalmembran – daher „in situ“.

23) (Folie 23) Wie verläuft die HPV-assoziierte Karzinogenese konzeptionell?

Abfolge: HPV-Infektion → virale Persistenz → Genexpressionsänderungen → genetische Instabilität → Virusintegration → Immortalisierung → Akkumulation genetischer Aberrationen (Onkogene/TSG) → Progress von unauffälligem Abstrich über niedrig-/hochgradige Läsion zum invasiven Karzinom (mit Metastasen); Unterscheidung Hoch- vs. Niedrigrisiko-HPV.

24) (Folie 24) Was zeigt das Bild eines invasiven Plattenepithelkarzinoms?

Histologisches Beispiel eines invasiv wachsenden Plattenepithelkarzinoms mit irregulären Tumorzellnestern in stromalem Gewebe.

25) (Folie 25) Welche klinisch-pathologischen Progressionspfade zu PE-Karzinomen werden genannt?

Zervix: glanduläre Ektopie → Basalzellhyperplasie → Plattenepithelmetaplasie → HPV → Dysplasie 1–3 → CIS → invasives PE-Karzinom. Lunge/Bronchus (Rauchen): Basalzellhyperplasie → Metaplasie → Dysplasie 1–3 → CIS → invasiv. Mund/Rachen (Rauchen+Alkohol): Dysplasie 1–3 → CIS → invasives PE-Karzinom.

26) (Folie 26) Was illustriert die drüsige Dysplasie am Kolon?

Adenom-Karzinom-Sequenz: Übergang von Hyperplasie/Frühadenom zu Schweradenom, Carcinoma in situ und Invasion/Metastase – histologisches Beispiel für glanduläre Dysplasien.

27) (Folie 27) Wie unterscheiden sich LGIEN und HGIEN im tubulären Adenom?

LGIEN: geringgradige Dysplasie mit moderaten architektonischen/karyologischen Abweichungen. HGIEN: hochgradige Dysplasie mit deutlicher Zell- und Architektur-Atypie – beide als Vorstufen in der Adenom-Karzinom-Sequenz.

28) (Folie 28) Was zeigt das Bild des (invasiven) Adenokarzinoms?

Histologisches Beispiel eines invasiven Adenokarzinoms mit atypischen drüsigen Strukturen in desmoplastischem Stroma.

29) (Folie 29) Welche molekularen Schritte begleiten die Adenom-Karzinom-Sequenz?

Typische Ereignisse: APC-Mutation (früh), aberrante Krypten → frühes Adenom; KRAS-Mutation, DNA-Methylierung, 18q-LOH; später p53-Mutation/LOH → Progression über CIS zu Invasion/Metastase. Umweltfaktoren modulieren diese Intrinsik.

30) (Folie 30) Welche Kapitel folgen nach Dysplasie?

Einstieg in D) formale/molekulare Tumorgenese und E) Grading/Staging.

31) (Folie 31) Welche drei Begriffe werden eingeführt?

Tumorgrad („grading“), Tumorstadium („staging“) und Tumorprognosefaktoren.

32) (Folie 32) Was versteht man unter Tumorgraduierung (Grading) und Differenzierungsgraden?

Grundidee: Je undifferenzierter, desto schnelleres Wachstum, höhere Strahlenempfindlichkeit und Bösartigkeit. Erst: gutartig vs. bösartig; dann Differenzierungs-/Malignitätsgrad: G1 (hoch differenziert), G2 (mittel), G3 (gering differenziert).

33) (Folie 33) Was zeigt das histologische Bild im Kontext Grading?

Beispiel einer Karzinomhistologie (Drüsenstrukturen in fibrotischem Stroma) zur Veranschaulichung von Differenzierungsmerkmalen, die in die Gradbeurteilung einfließen.

34) (Folie 34) Wie wird beim Mammakarzinom konkret graduiert?

Nach histologischer Typisierung/Differenzierung, Kernatypie und Mitosen. Beispiele: Tubulusbildung (>75%, 10–75%, <10%), Kernpolymorphie (gering/mittel/stark) und Mitoserate (pro HPF) werden als Score summiert → Summe 3–9 → Malignitätsgrad G1–G3.

35) (Folie 35) Welchen Zweck haben die Beispielbilder (Mamma) im Grading-Kontext?

Visuelle Orientierung zur Identifikation von Tubulusbildung, Kernatypie und Mitosen in realen Schnittpräparaten als Grundlage der Scorevergabe.

36) (Folie 36) Was wird an der hochvergrößerten Darstellung demonstriert?

Kernatypien und Mitosen in höherer Vergrößerung zur sicheren Erkennung der Kriterien (z. B. pleomorphe Kerne, auffällige Mitosen) für die Gradbestimmung.

37) (Folie 37) Wie wird das Risiko je nach Tumorentität eingestuft?

Entitäten-spezifisch: Kolorektales Epithel – klar benigne vs. maligne; Ovarialepithel – Spektrum benigne/borderline/malign; Weichgewebe – Kategorien benign/intermediate (lokal aggressiv oder selten metastasierend)/malign → zeigt die Notwendigkeit entitätsspezifischer Klassifikation.

38) (Folie 38) Was charakterisiert Borderlinetumoren des Ovars?

Zytologische Atypien bei fehlender größerer Invasion; Möglichkeit der „Mikroinvasion“ <5 mm und cavitärer Implants – klinisch zwischen benigne und maligne, relevant für Management/Prognose.

39) (Folie 39) Was ist die TNM-Klassifikation (UICC) beim Staging?

T: Primärtumor-Ausdehnung (T0–T4); N: regionäre Lymphknoten (N0–N3); M: Fernmetastasen (M0/M1). Präfixe: c (klinisch), p (pathologisch). Dient Prognose, Therapieplanung und Studienvergleich.

40) (Folie 40) Was umfasst die pTNM-Klassifikation zusätzlich?

pT: Ausdehnung inkl. pTis (in situ); Zusatz L1/V1 für Lymph-/Blutgefäßeinbruch; R-Status (R0: kein Residualtumor; R1: mikroskopisch; R2: makroskopisch). pN: Lymphknotenstatus (pNx, pN0, pN1–3, pN4). pM: Fernmetastasen (pMx, pM0, pM1).

41) (Folie 41) Was umfasst das Kapitel „Tumorprogression und Metastasierung“?

Definition der Tumorprogression (kontinuierliche Zunahme von Malignität) und Erklärung des metastatischen Prozesses: lokale Invasion → intravasale Dissemination → Zelladhäsion → Extravasation → Kolonisation → Wachstum im Zielorgan.

42) (Folie 42) Welche Stadien durchläuft eine Metastasierung?

(1) Invasion (lokale Durchbrechung der Basalmembran), (2) Intravasation (Eintritt in Blut-/Lymphgefäße), (3) Transport im Kreislauf, (4) Extravasation (Austritt im Zielgewebe), (5) Kolonisation (Anwachsen im neuen Milieu), (6) Angiogenese (Gefäßneubildung zur Versorgung der Metastase).

43) (Folie 43) Welche Enzyme und Faktoren sind an der Invasion beteiligt?

Matrix-Metalloproteinasen (MMP-2, MMP-9), Urokinase, Cathepsine – degradieren Basalmembran/ECM. Tumorzellen: Integrine/Adhäsionsmoleküle (CD44, E-Cadherin↓) → erhöhte Motilität/Migration.

44) (Folie 44) Welche Metastasierungswege gibt es?

1️⃣ lymphogen (v. a. Karzinome), 2️⃣ hämatogen (v. a. Sarkome; z. B. Leber/Lunge), 3️⃣ kavitäre Aussaat (Serosa-/Liquorräume), 4️⃣ iatrogene Implantation (OP-Verschleppung).

45) (Folie 45) Welche klinisch wichtigen Lymphabflusswege kennt man?

Beispiele: Mamma → axillär → supraklavikulär; Zunge → submandibulär → zervikal; Magen → Virchow-LK (linke Supraklavikularregion). Lymphknotenstatus zentral für pN und Prognose.

46) (Folie 46) Wie läuft eine hämatogene Metastasierung ab?

Primärtumor → Einbruch in Venen → Lunge (Körpervenen) oder Leber (Pfortader) → weitere Organmetastasen (z. B. Gehirn, Knochen). Beispiele: Kolonkarzinom → Leber; Bronchialkarzinom → Gehirn/Nebenniere.

47) (Folie 47) Welche Rolle spielt die Angiogenese bei der Tumorprogression?

Tumorzellen sezernieren VEGF, bFGF → Gefäßneubildung, Versorgung des Tumors mit O₂/Nährstoffen; erleichtert Metastasierung. Angiogenesehemmung (z. B. Bevacizumab) als Therapieprinzip.

48) (Folie 48) Was bedeutet „Seed and Soil“-Prinzip?

Metastasierung hängt von Eigenschaften der Tumorzelle („seed“) und vom Milieu des Zielorgans („soil“) ab → organspezifische Metastasierung (z. B. Prostata → Knochen, Kolon → Leber).

49) (Folie 49) Welche molekularen Grundlagen der Tumorprogression werden vorgestellt?

Onkogene, Tumorsuppressorgene, Apoptosegene, DNA-Reparaturgene, Telomerase, Mikroumgebungs-/Immuninteraktionsgene.

50) (Folie 50) Wie entstehen Onkogene?

Proto-Onkogene → Mutation, Amplifikation, Translokation oder virale Aktivierung → Onkogene mit konstitutiven Proliferationssignalen. Beispiel: RAS-Mutation → dauerhafte MAP-Kinasen-Aktivierung.

51) (Folie 51) Welche Tumorsuppressorgene sind zentral?

TP53 („guardian of the genome“) – DNA-Schadensantwort/Apoptose; RB1 – G1/S-Checkpoint; APC – WNT-Signalhemmung (Kolonkarzinom); BRCA1/2 – Reparatur doppelsträngiger DNA-Brüche.

52) (Folie 52) Was sind typische genetische Ereignisse in der Tumorgenese?

Aktivierung von Onkogenen, Inaktivierung von Tumorsuppressorgenen, Apoptosehemmung (BCL-2↑, p53↓), Telomeraseaktivierung, epigenetisches Silencing (Promotormethylierung).

53) (Folie 53) Was ist eine „driver mutation“?

Mutation mit funktionellem Selektionsvorteil, die Tumorentstehung/-progression aktiv vorantreibt (vs. „passenger mutations“ ohne selektiven Vorteil).

54) (Folie 54) Was beschreibt das „mutator phenotype“-Konzept?

Defekte DNA-Reparatur steigern Mutationsrate → Akkumulation genetischer Veränderungen → Tumorprogression (Beispiel: HNPCC, Mismatch-Repair-Defekte, Microsatellite Instability).

55) (Folie 55) Welche Mechanismen fördern genomische Instabilität?

Telomerverkürzung, fehlerhafte DNA-Replikation, chromosomale Translokationen, Aneuploidie, Defekte in Spindelkontrolle, defekte Checkpoints (p53, ATM/ATR).

56) (Folie 56) Welche Rolle spielt Apoptose-Verlust?

Tumorzellen vermeiden Apoptose durch BCL-2-Überexpression, p53-Inaktivierung, Caspase-Inhibition → Überleben trotz DNA-Schaden, Förderung von Chemo-/Strahlenresistenz.

57) (Folie 57) Was bedeutet „Hallmarks of Cancer“ nach Hanahan & Weinberg?

Kernfähigkeiten: (1) autonome Proliferation, (2) Resistenz gegen Wachstumshemmung, (3) Vermeidung von Apoptose, (4) immortales Wachstum (Telomerase), (5) Angiogenese, (6) Invasion/Metastasierung; ergänzt um (7) Stoffwechselreprogrammierung, (8) Immunflucht.

58) (Folie 58) Welche zellulären Signalwege sind häufig verändert?

RAS/MAPK-, PI3K/AKT-, WNT/β-Catenin-, p53-, TGF-β-, Notch-, Hedgehog-, JAK/STAT-, Hippo-Pathways – steuern Zellzyklus, Differenzierung, Überleben.

59) (Folie 59) Was ist das Prinzip der epithelial-mesenchymalen Transition (EMT)?

Verlust von Polarität/Zell-Zell-Adhäsion (E-Cadherin↓), Erwerb mesenchymaler Eigenschaften (Vimentin↑) → erhöhte Motilität, Invasivität, Resistenz; zentral für Metastasierung.

60) (Folie 60) Welche Rolle spielt das Immunsystem bei der Tumorprogression?

Immunüberwachung (Eliminierung), Immunselektion (Escape-Varianten überleben), Immunescape (PD-L1, Tregs). Immuntherapie reaktiviert T-Zell-Antwort (Checkpoint-Inhibitoren).

61) (Folie 61) Was sind Tumor-assoziierte Antigene?

Proteine, die von Tumorzellen überexprimiert/mutiert exprimiert werden (z. B. CEA, AFP, Her2/neu, MUC1, p53-Mutant); diagnostisch (Marker) und therapeutisch nutzbar (Antikörper, Impfstoffe).

62) (Folie 62) Was ist Tumor-Immuneditierung?

Modell aus drei Phasen: Elimination → Equilibrium → Escape. Immunsystem selektiert Zellen mit reduzierter Immunogenität; Escape-Varianten dominieren.

63) (Folie 63) Welche Mechanismen der Immunflucht existieren?

MHC-I-Downregulation, PD-L1-Überexpression, Sekretion immunsuppressiver Zytokine (TGF-β, IL-10), Rekrutierung von Tregs/MDSCs → verminderte CTL-Erkennung.

64) (Folie 64) Was ist die Bedeutung der Tumormikroumgebung?

Stroma, Fibroblasten, Makrophagen, Gefäße und ECM bilden ein dynamisches Milieu, das Wachstum, Angiogenese und Immunflucht moduliert; CAF fördern EMT/Metastasierung.

65) (Folie 65) Was bedeutet „Tumorheterogenität“?

Intratumorale genetische/phänotypische Diversität → Teilklone mit variabler Therapieempfindlichkeit; intertumoral = Unterschiede zwischen Patient:innen/Entitäten; Herausforderung für Präzisionsmedizin.

66) (Folie 66) Welche Prinzipien molekularer Diagnostik werden genannt?

Immunhistochemie, FISH, PCR, NGS – Nachweis spezifischer Mutationen (EGFR, KRAS, ALK), Expressionsmuster (ER/PR/Her2) → Grundlage personalisierter Therapie.

67) (Folie 67) Welche molekularen Marker sind therapeutisch relevant?

HER2 (Trastuzumab), EGFR (TKIs), BRAF (Vemurafenib), ALK (Crizotinib), PD-L1 (Checkpoint-Therapie), MSI (Immuntherapie-Ansprechen); Companion Diagnostics essenziell.

68) (Folie 68) Wie funktioniert das Prinzip der Checkpoint-Inhibition?

Antikörper blockieren inhibitorische Signale (PD-1/PD-L1, CTLA-4), reaktivieren zytotoxische T-Zellen und ermöglichen Tumorzellzerstörung; besonders wirksam bei immunogenen Tumoren (Melanom, Lunge, HNSCC).

69) (Folie 69) Welche genetischen Prädispositionen für Tumoren existieren?

Keimbahnmutationen: BRCA1/2 (Mamma/Ovar), APC (FAP), TP53 (Li-Fraumeni), VHL (Von-Hippel-Lindau), RET (MEN) → genetisches Screening/Surveillance empfohlen.

70) (Folie 70) Was bedeutet „Multistep-Carcinogenesis“?

Mehrstufiger Prozess mit sukzessiver Akkumulation genetischer/epigenetischer Veränderungen; jede Mutation verleiht klonalen Vorteil (darwinistische Selektion).

71) (Folie 71) Welche morphologischen Grundlagen sind abschließend zu beachten?

Anaplasie, Pleomorphie, Mitosen, Invasion, Metastasen, Desmoplasie, Nekrosen – bleiben trotz molekularer Fortschritte Grundlage der histopathologischen Diagnose.

72) (Folie 72) Was ist das Fazit der Vorlesung Tumorpathologie?

Tumorpathologie verbindet Morphologie und Molekularpathologie. Verständnis von Grading, Staging und molekularen Veränderungen ist Basis präziser Diagnostik, Prognose und zielgerichteter Therapie – „Keine Therapie ohne Diagnose – keine Diagnose ohne Pathologie.“

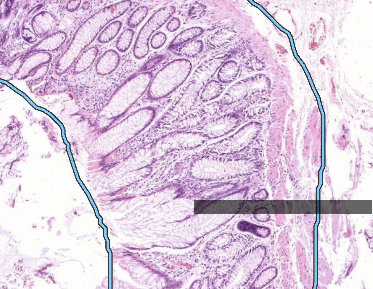
40) Was ist hier für eine Schleimhaut zu sehen?
Histopathologisches Bild: Kolonschleimhaut

Hier zu sehen ist eine Colon Mukosa (Schleimhaut).

Zu erkennen daran, dass es nur Krypten und keine Zotten gibt.

40) Welches Präperat ist hier zu sehen?
Histopathologisches Bild: Kolonschleimhaut

Hier zu sehen ist eine Lipom im Kolon.

Es ist als gutartig anzusehen, weil die Fettzellen stark differenziert sind und keine Zellveränderungen zu sehen sind.

Man erkennt erst das es ein Tumor ist, weil es sich Gewebsdrägend verhält, die darüberliegende Colonschleimhaut wird schmal erdrückt.

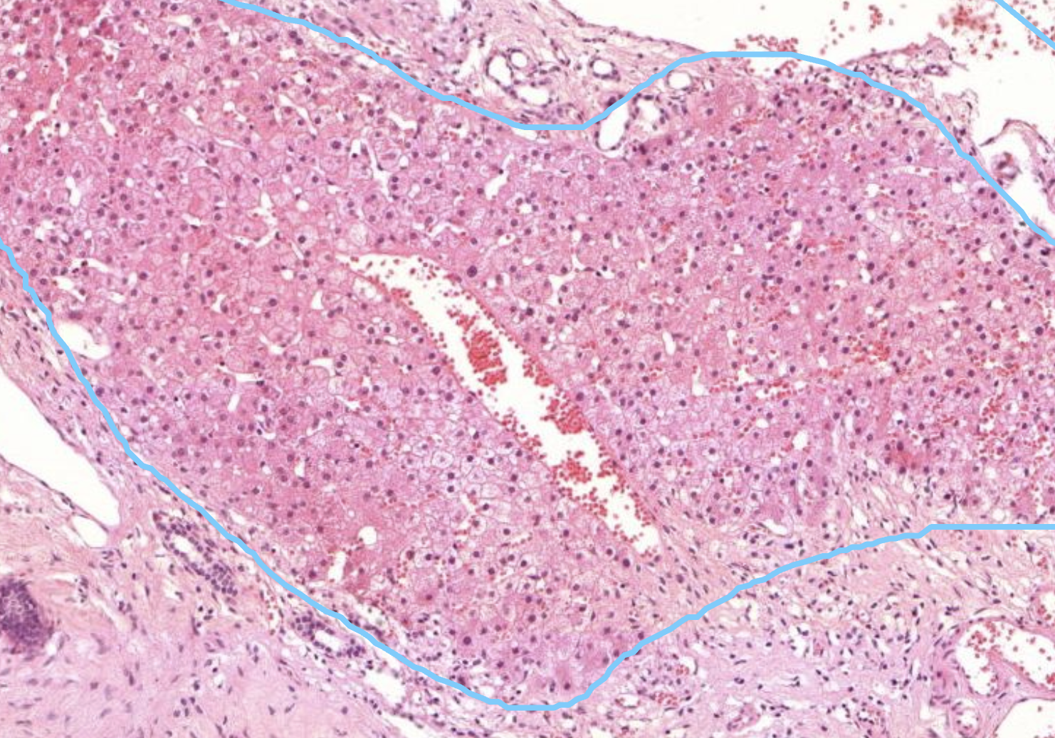
40) Um welches Gewebe handelt es sich hier?
Histopathologisches Bild: Kolonschleimhaut

Hier zu sehen ist eine Lebergewebe.

Erkennbar an den Sinusioiden und der Struktur der aneinander haftenden Zellen. Mittig erkennt man eine Zentralvene

40) Was ist hier kreisrund und kubisch zu erkennen?
Histopathologisches Bild: Kolonschleimhaut

Hier zu sehen sind Gallengänge im Lebergewebe.

40) WElches Präperat ist hier zu sehen?
Histopathologisches Bild: Kolonschleimhaut

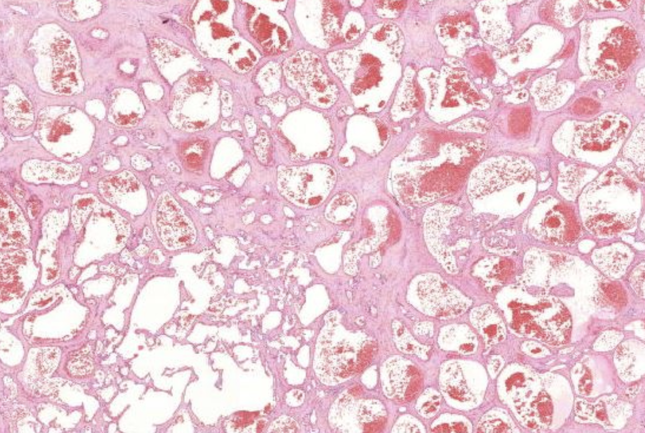
Kavernöses Hämangiom.

Es zeigen sich unterchiedlich weite Blutgefäße und darin ganz viele Erythrozyten.

Wenn diese Gefäße super groß werden, dann nennt man die Kavernös. Vaskuläre tumoren sind in der Leber recht häufig

40) Was könnte eine komplikation der kavernen im Kavernösen Hämangiom sein?
Histopathologisches Bild: Kolonschleimhaut

Thrombosieren der Kavernen und Nekrosen darin.

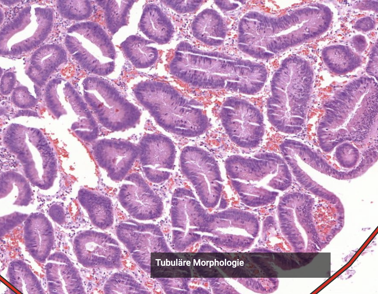
40) WElches Gewebe ist hier zu sehen?
Histopathologisches Bild: Kolonschleimhaut

Es zeigt sich die Mukosa des Colons. Daran zu erkennen das keine Zotten aber Krypten zu sehen sind. Kennzeichen einer guten Krypte: Bis oben hin becherzellartig.

Was zeigt sich im bezug auf die Mrophologie bei sicht auf diese Krypten?
Histopathologisches Bild: Kolonschleimhaut

Es zeigt sich das coronal an de Krypten die Becherzellen fehlen am Grund jedoch noch einige Becherzellen in den Untenständigenzellen vorhanden sind

Diese Zellen Proliferieen aberant, das bedeutet es sollten sich eigentlich überall in der Krypte zellen mit Becherzellen darin befinden, die neu gebildeten Zellen, da proliferiert stehts von unten wird, besitzen jedoch keine Becherzellen

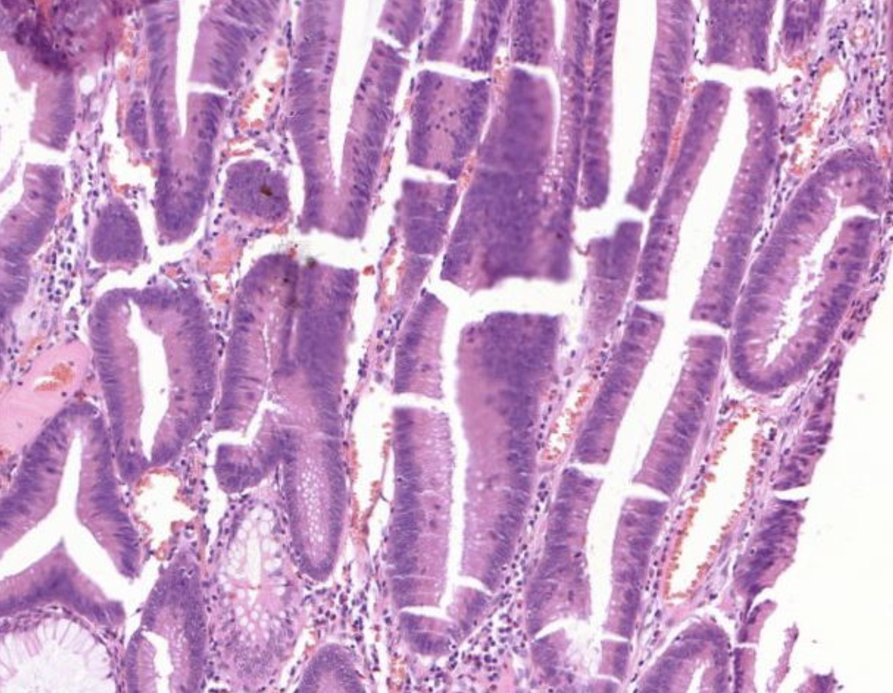
40) Wie nennt man diese Tumorerkrankung?
Histopathologisches Bild: Kolonschleimhaut

Tubuläres Adenom der colon schleimhaut. Kerne vergrößert, keine Becherzellen darin vorhanden. Zellbild sieht anders aus.

40) Was ist die anatomische Grenze, ab wann wir von einem colonkarzinom sprechen können - was muss durchbrochen sein?
Histopathologisches Bild: Kolonschleimhaut

Bei Karzinomen der Darmschleimhaut (z. B. im Kolon oder Rektum) ist die anatomische Grenze, ab der man von einem invasiven Karzinom spricht, das Überschreiten der Muscularis mucosae..

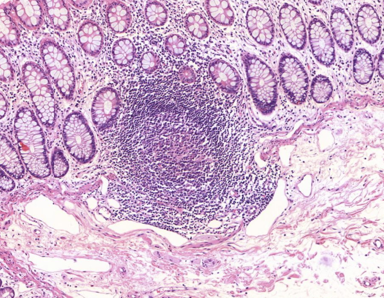
40) Was sieht man hier im Mittelpuntt?
Histopathologisches Bild: Kolonschleimhaut

Es zeigt sich Lymphatisches Gewebe der Colonschleimhaut, sogenannte Pleyer Plaques.

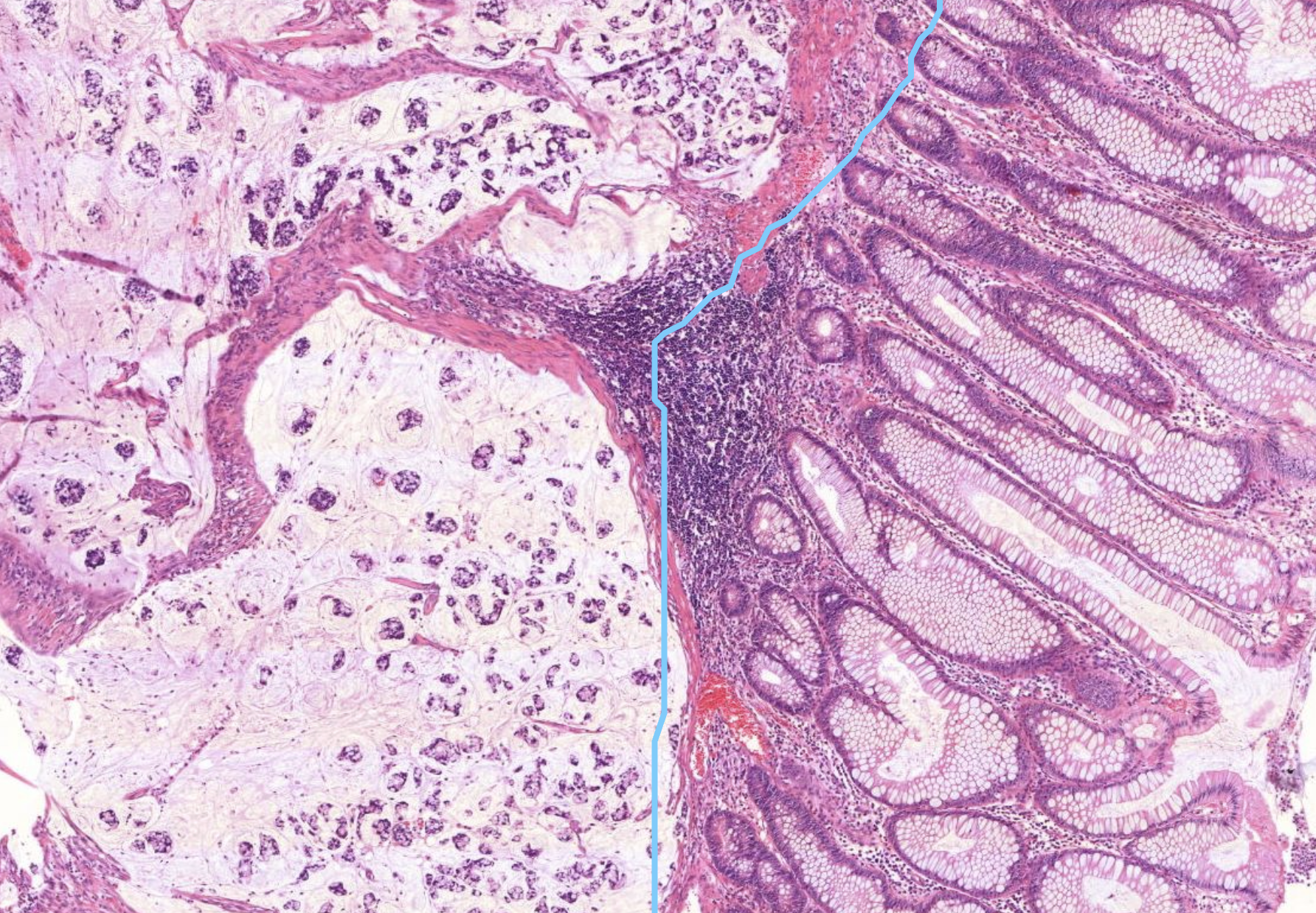
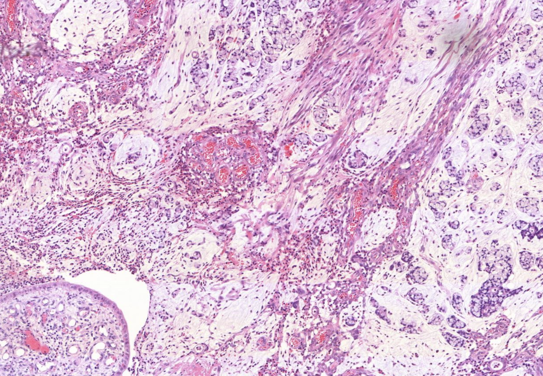
40) Was ist hier links zu sehen?
Histopathologisches Bild: Kolonschleimhaut
Histopathologisches Bild: Kolonschleimhaut

Colonkarzinom. Links sieht es recht unordentlich aus. Es zeigen sich in kleinen pools auch leukozyten und Fibrin. Hier sind auch super viele Zellen zu sehen .

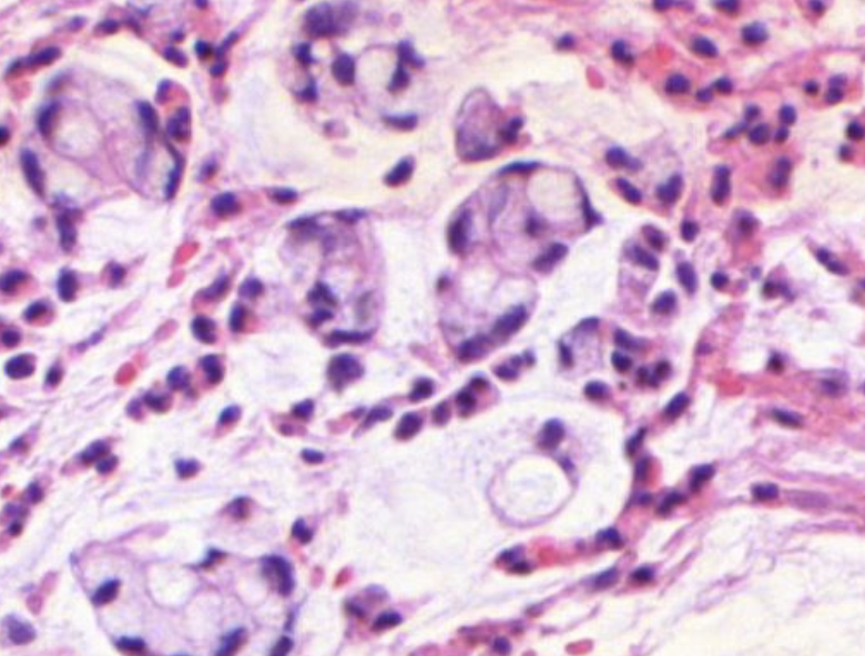
40) Die Zellen mit dem weißen Zellinhalt, vakuolig verpackt - wie nennt man die?
Histopathologisches Bild: Kolonschleimhaut

Siegelringzellen. Diese Siegelringzellen laufen gerne einzeln durch den Tumor. Siegelringzellen sind schlecht für die Prognose. .