📊 Lernstatistik

Lernzeit: 00:00:00
Richtig: 0
Falsch: 0
Gelernt: 0
Gesamtfragen: 0
Ziel: 3x richtig pro Tag

Übungsfragen: Anpassungsreaktionen, Metaplasie & Nekrose

Klicke auf „Antwort zeigen", um die Lösung anzuzeigen. Inhalte & Seitenangaben basieren auf der Vorlesung Pathologie für Zahnmedizin – Anpassungsreaktionen & Allgemeine Pathologie (Zellschaden/Zelltod). Tastaturnavigation: ↑↓ Pfeiltasten zum Navigieren, Enter zum Öffnen/Schließen, A für alle öffnen, S für alle schließen. Selbstbewertung: Alt/Option = Falsch, Cmd = Richtig.

1) Was sind Anpassungsreaktionen laut der Vorlesung Pathologie für Zahnmedizin? (Allgemein)

Anpassungsreaktionen sind Atrophie, Hypertrophie und Metaplasie. Diese sind zelluläre Reaktionen auf nicht-letale Anforderungen oder Schädigungen.

2) Wie werden zelluläre Anpassungen definiert? (Allgemein)

Zelluläre Anpassungen sind Reaktionen auf nicht-letale Anforderungen oder Schädigungen. Dazu gehören:

  • Zelluläre Atrophie (numerische Atrophie)
  • Zelluläre Hypertrophie (Hyperplasie)
  • Metaplasie
  • Dysplasie
  • Intrazelluläre Speicherung
3) Was passiert bei der zellulären Atrophie? (Atrophie)
  • Definition: Abnahme von Zellgröße und Zellfunktion
  • Mechanismus: Veränderte Expression von Differenzierungsgenen bei gleichbleibender Expression von Housekeeping-Genen
  • Energieverbrauch: Minimal
  • Reversibilität: Der Prozess ist reversibel
4) Was sind Ursachen einer Atrophie? (Atrophie)
  • Chronische Rechtsherzinsuffizienz: Führt zur Stauungsleber
  • Chronische Bronchitis: Erhöhter intrapulmonaler Druck → Druckatrophie der Alveolen (Lungenemphysem)
  • Partielle Ischämie: Minderdurchblutung → Sauerstoffmangel → Atrophie der Niere („Subinfarkt")
  • Neurogene Ursachen: z.B. bei Muskeldenervation
  • Fehlen tropher Signale: z.B. bei spinaler Muskelatrophie, Poliomyelitis, ALS
5) Was beschreibt das Beispiel der Atrophie der Niere? (Atrophie)
  • Ursache: Partielle Ischämie durch inkompletten Nierenarterienverschluss
  • Ergebnis: Atrophie der Niere („Subinfarkt")
  • Histologie: Bild der sogenannten „endokrinen Niere"
  • Charakteristika: Typische Minderperfusionen und regressive Veränderungen
6) Was ist eine neurogene Muskelatrophie? (Atrophie)
  • Ursache: Muskeldenervation
  • Beispiele:
    • Poliomyelitis
    • Spinale Muskelatrophie
    • Amyotrophe Lateralsklerose (ALS)
  • Mechanismus: Fehlen tropher Signale
  • Ergebnis: Muskelschwund (neurogene Muskelatrophie)
7) Was versteht man unter zellulärer Hypertrophie? (Hypertrophie)
  • Definition: Zunahme von Zellgröße und Zellfunktion
  • Mechanismus: Expression von Differenzierungsgenen sowie Expression von „Housekeeping-Genen"
  • Reversibilität: Die Anpassung ist reversibel
  • Zweck: Erhöhung der Leistungskapazität
8) Was sind Ursachen der zellulären Hypertrophie? (Hypertrophie)

Ursachen sind verstärkte funktionelle Anforderungen, z.B.:

  • Skelettmuskulatur oder Herzmuskel bei Druck- oder Volumenbelastung → Myokardhypertrophie
  • Physische Aktivität → Muskelhypertrophie
9) Was ist eine konzentrische Hypertrophie des linken Herzventrikels? (Hypertrophie)
  • Ursache: Druckbelastung, z.B. bei arterieller Hypertonie
  • Veränderung: Das Myokard wird dicker, das Lumen kleiner
  • Vergleich: Im Gegensatz dazu ist der normale Herzmuskel dünnwandiger
10) Welche mikroskopischen Veränderungen sieht man bei einer Myokardhypertrophie? (Hypertrophie)
  • Mikroskopisch: Hypertrophe Herzmuskelfasern mit vergrößerten Zellkernen
  • Bedeutung: Diese Veränderungen sind Ausdruck der gesteigerten Syntheseaktivität der Zelle
11) Was geschieht auf genetischer Ebene bei der Myokardhypertrophie? (Hypertrophie)
  • Induktion kontraktiler Proteine: z.B. Myosin light chain, Cardiac α-actin
  • Induktion embryonaler Gene: z.B. β-myosin heavy chain, Skeletal α-actin, Atrial natriuretic factor
  • Beteiligte Transkriptionsfaktoren: c-Jun, c-Fos, Egr-1
  • Ergebnis: Zunahme der Muskelaktivität bei verringerter Arbeitsökonomie
12) Was versteht man unter zellulärer Hyperplasie? (Hyperplasie)
  • Definition: Zunahme der Zellzahl
  • Organe mit nicht teilungsfähigen Zellen (Herz, Skelettmuskel) → reagieren mit Hypertrophie
  • Organe mit teilungsfähigen Zellen (z.B. endokrine Organe, Niere, Leber) → reagieren mit Hyperplasie oder einer Kombination aus Hyperplasie und Hypertrophie
13) Wie entsteht eine Hyperplasie durch Aktivierung des Zellzyklus? (Hyperplasie)
  • Mechanismus: Aktivierung des Zellzyklus in der G1→S-Phase
  • Beteiligte Faktoren: Wachstumsfaktoren, Rezeptoren und Transkriptionsfaktoren (TFs)
  • Zyklin-abhängige Kinasen 4 (CDK4) mit Zykline D und E steuern den Übergang
  • Inhibitoren: p16, p21 und p27 bremsen diesen Prozess
  • Retinoblastom-Protein (Rb): Phosphoryliert gibt es den Transkriptionsfaktor E2F frei, der die Transkription der DNA-Polymerase und weiterer Gene anregt
14) Was sind Ursachen für eine Hyperplasie (ggf. mit Hypertrophie)? (Hyperplasie)

Ursachen sind verstärkte trophe Signale, insbesondere hormonelle Einflüsse:

  • Physiologische Endokrine Stimulation: Sexualhormone
  • Sekundäre Geschlechtsmerkmale
  • Mamma lactans und Uterus: Hyperplasie + Hypertrophie
  • Pubertät: Östrogene, Androgene
  • Schwangerschaft: Prolaktin, Östrogene
  • Geschlechtsreife: Östrogene → Endometriumproliferation während des Zyklus
15) Was ist eine Knotenstruma? (Hyperplasie)
  • Definition: Knotige Schilddrüsenhyperplasie
  • Ursache: Verstärkte trophe Signale in der Schilddrüse
  • Ergebnis: Vergrößerung (Hyperplasie ± Hypertrophie) der Follikel und Ausbildung von knotigen Veränderungen
  • Histologie: Unregelmäßig vergrößerte Follikel mit Fibrose und regressiven Veränderungen
16) Welche Rolle spielen T3, T4 und TSH bei der Hyperplasie der Schilddrüse? (Hyperplasie)
  • Regulation: T3 und T4 werden durch TSH reguliert
  • TSH-Überschuss: z.B. durch Jodmangel oder gesteigerte TSH-Empfindlichkeit → Struma-Bildung
  • Morbus Basedow: IgG-Antikörper mit TSH-ähnlicher Wirkung können eine Struma verursachen
17) Wie verläuft die Pathogenese einer Struma? (Hyperplasie)
  • Normale Schilddrüse: 20–50 g
  • Ursachen der Vergrößerung:
    • Jodmangel
    • Hormonsynthesestörungen
    • Antithyreoidale Medikamente
    • Paraneoplasien
  • Mechanismen:
    • Erhöhte TSH-Empfindlichkeit
    • TSH-ähnliche IgG
    • HVL-Adenome
  • Folge: Struma diffusa (> 60 g)
18) Wie entsteht aus einer Struma diffusa eine Struma nodosa? (Hyperplasie)
  • Ursache: Unterschiedliche TSH-Empfindlichkeit der Follikelepithelien bei Struma diffusa
  • Regressive Veränderungen:
    • Fibrose
    • Pseudozysten
    • Nekrose
    • Blutungen
  • Mechanismus: Missverhältnis zwischen Wachstum und Vaskularisation
  • Ergebnis: Knotige Form (Struma nodosa)
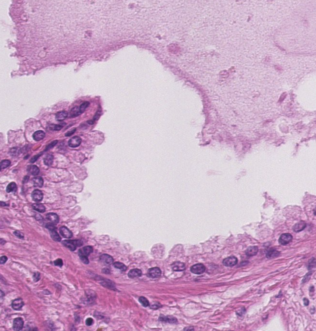
19) Was ist eine Metaplasie? (Metaplasie)
  • Definition: Umwandlung eines ausdifferenzierten Gewebes eines bestimmten Typs in ein differenziertes Gewebe eines anderen Typs
  • Mechanismus: Meist als Stammzellmetaplasie, also durch Neuprogrammierung von Stammzellen oder undifferenzierten Vorläuferzellen
20) Was ist eine Plattenepithelmetaplasie an der Portio/Zervix? (Metaplasie)
  • Ursache: Chronische Entzündung im Bereich der Portio oder Zervix
  • Veränderung: Drüsenepithel wird in Plattenepithel umgewandelt
  • Bezeichnung: Plattenepithelmetaplasie
  • Häufigkeit: Häufige Form der epithelialen Metaplasie
21) Was ist eine Plattenepithelmetaplasie in der Lunge oder im Bronchialsystem? (Metaplasie)
  • Lokalisation: Lunge oder Bronchien
  • Ursache: Chronische Reizung wie Rauchen
  • Mechanismus: Basalzellhyperplasie mit nachfolgender Plattenepithelmetaplasie
  • Veränderung: Zylinderepithel wird durch mehrschichtiges Plattenepithel ersetzt
22) Was ist eine intestinale Metaplasie am gastroösophagealen Übergang? (Metaplasie)
  • Ursache: Refluxösophagitis (chronischer Rückfluss von Magensäure)
  • Veränderung: Normales Plattenepithel des Ösophagus wird in intestinales Epithel umgewandelt
  • Bezeichnung: Intestinale Metaplasie des ösophagealen Plattenepithels (Barrett-Schleimhaut)
23) Welche unterschiedlichen Formen der Metaplasie gibt es? (Metaplasie)

Metaplasien entstehen durch Umdifferenzierung von Zellen infolge anderer genetischer Programme. Beispiele:

  • Zylinderepithel → Plattenepithel (Bronchus, Rauchen)
  • Zylinderepithel → Intestinales Epithel (Refluxösophagitis, Barrett-Schleimhaut)
  • Bindegewebe → Knochen (mechanischer Reiz)
  • Bindegewebe → Knorpel
24) Wie reagiert die Zelle allgemein auf Stress und Schädigungen? (Zellschaden)
  • Normale Zellen: Haben einen dynamischen Rahmen von Struktur und Funktion
  • Bei Anforderungen/Stimulation: z.B. Hormone → Hypertrophie oder Hyperplasie
  • Bei Nährstoffmangel: → Atrophie
  • Bei chronischer Irritation: → Metaplasie
  • Bei weiterem Stress/Schädigung: z.B. O₂-Mangel, chemische oder physikalische Schäden, Infektionen, Immunreaktionen → Zellschäden
  • Zellschäden: Reversibel oder irreversibel (Zelltod) → Nekrose oder Apoptose
25) Was sind typische Ursachen von Zellschäden und Zelltod? (Zellschaden)
  • Chemische Agentien und Medikamente: Gifte (z.B. Zyanid), Insektizide, Herbizide, Umweltgifte
  • Physikalische Schäden: Trauma, Druck, Temperatur, Strahlen
  • Ischämie: Arterielle Durchblutungsstörung
  • Hypoxie: Sauerstoffmangel durch Anämie, CO-Vergiftung oder Schock
  • Infektionen: Viren, Bakterien, Pilze, Parasiten
  • Immunologische Reaktionen: Exogene (z.B. Allergien) oder endogene Antigene (Autoimmunkrankheiten)
  • Genetische Störungen: Polymorphismen, angeborene Stoffwechselstörungen
  • Ernährungsstörungen: Kalorien-, Protein-, Vitaminmangel oder Überernährung (Arteriosklerose, Diabetes mellitus)
26) Wovon hängt die Art der Zellschädigung ab? (Zellschaden)
  • Art, Schwere und Dauer des Schadens
  • Zelltyp, Zustand und Stoffwechselaktivität
  • Sauerstoffbedarf, Hormonstatus
  • Genetischer Hintergrund (z.B. Enzymaktivität)
  • Betroffene essentielle Zellfunktionen:
    • Aerober Stoffwechsel und ATP-Produktion
    • Membranintegrität
    • Proteinsynthese
    • Zytoskelettstabilität
27) Was sind die Folgen einer ATP-Erniedrigung? (Zellschaden)
  • Membranschäden: Plasmamembran, Mitochondrien, Lysosomen
  • Enzymatischer Zellverdau und Nekrose
  • Nachweisbare freigesetzte Proteine im Serum:
    • Leber (Hepatitis): Transaminasen, alkalische Phosphatase
    • Herzmuskel (Myokardinfarkt): Kreatinkinase, Troponin
28) Wie sieht ein hypoxischer Zellschaden mikroskopisch aus? (Zellschaden)
  • Beispiel: Hypoxischer Schaden an den Tubulusepithelien der Niere
  • Mikroskopische Zeichen:
    • Zellschwellungen
    • Vakuolisierungen
    • Strukturauflösungen im Gewebe
  • Bedeutung: Reversible Frühzeichen einer Zellschädigung
29) Was ist die Definition der Nekrose? (Nekrose)
  • Definition: Summe aller morphologischen Erscheinungen nach provoziertem Zelltod
  • Merkmale:
    • Denaturierung intrazellulärer Proteine und Enzyme (niedriger pH)
    • Verlust des Zellinhalts, was zu Entzündung führt
    • Enzymatischer Zellverdau durch lysosomale und granuläre Enzyme
30) Was sind typische mikroskopische Merkmale der Nekrose? (Nekrose)
  • Zytoplasma:
    • Eosinophilie durch Bindung von Eosin an denaturierte Zellproteine
  • Kern:
    • Karyolyse: DNase-Aktivität, Auflösung des Kerns
    • Kernpyknose: Chromatinverklumpung bei niedrigem pH
    • Karyorhexis: Fragmentierung des Zellkerns
31) Was charakterisiert die Koagulationsnekrose? (Nekrose)
  • Häufigkeit: Häufigste Form der Nekrose
  • Mechanismus: Proteindenaturierung überwiegt bei niedrigem pH, wodurch proteolytische Enzyme gehemmt werden
  • Makroskopisch: Gewebe erscheint gelblich mit erhaltener Grundstruktur
  • Beispiel: Anämischer Niereninfarkt
32) Wie sieht eine Koagulationsnekrose histologisch und makroskopisch aus? (Nekrose)
  • Mikroskopisch: Erhalt der Gewebestruktur, aber mit Verlust der Zellkerne und starker Eosinophilie
  • Makroskopisch: Betroffenes Gewebe erscheint gelblich und fest
  • Beispiele: Anämische Niereninfarkte oder Myokardinfarkte mit leukozytärer Reaktion
33) Was versteht man unter „käsiger" Nekrose? (Nekrose)
  • Definition: Besondere Form der Koagulationsnekrose, typisch bei Tuberkulose
  • Makroskopisch: Homogene, bröckelige, gelblich-weiße Konsistenz („käsig")
  • Histologisch: Verlust der Zellstruktur mit zentraler Nekrose und umgebender Entzündungsreaktion (granulomatös)
34) Wie zeigt sich eine käsige Nekrose bei Lungentuberkulose? (Nekrose)
  • Lokalisation: Lunge
  • Entwicklung: Zentrale käsige Nekrose, die später zur Kavernenbildung führen kann
  • Makroskopisch: Weißlich-gelbe Nekroseherde mit bröckeliger Konsistenz
  • Bezeichnung: Typisch für den sogenannten „käsigen Lungenherd"
35) Was ist eine Kolliquationsnekrose? (Nekrose)
  • Charakteristikum: Vorherrschender enzymatischer Verdau
  • Beispiel: Gehirninfarkte, wo sich das Gewebe verflüssigt („Gehirnerweichung")
  • Weitere Ursache: Bakterielle Zersetzung einer Koagulationsnekrose (Gangrän)
36) Wie äußert sich eine Kolliquationsnekrose im Gehirn? (Nekrose)
  • Ursache: Hirninfarkt
  • Mechanismus: Enzymatische Auflösung des Nervengewebes
  • Erscheinung: Betroffenes Gebiet wird weich und flüssig, mit Verlust der zellulären Struktur
  • Bezeichnung: Gehirnerweichung
37) Was ist eine enzymatische (fettgewebige) Nekrose? (Nekrose)
  • Typische Lokalisation: Pankreatitis
  • Mechanismus: Freigesetzte Lipasen spalten Triglyzeride, wodurch Fettsäuren entstehen
  • Reaktion: Fettsäuren reagieren mit Kalzium → Bildung von Calciumseifen („Verseifung")
  • Histologisch: Weiße, kreidige Nekroseareale im Fettgewebe
  • Lokalisation: Häufig im Bereich des Pankreas und der umgebenden Fettgewebe
38) Wie läuft die pankreatische Fettgewebsnekrose genau ab? (Nekrose)
  • Auslöser: Pankreatitis
  • Freisetzung: Lipasen aus den Azinuszellen
  • Spaltung: Triglyzeride → freie Fettsäuren
  • Reaktion: Fettsäuren reagieren mit Calciumionen zu unlöslichen Salzen – sogenannten „Seifen"
  • Ergebnis: Nekroseherde im Fettgewebe
  • Makroskopisch: Weißlich und hart erscheinende Areale
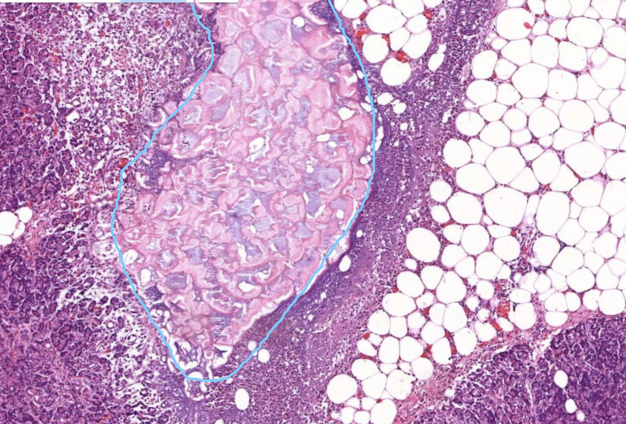
39) Präparat MK10: Prostatahyperplasie (H&E-Färbung) - Beschreiben Sie die histopathologischen Merkmale.

Hier sieht man eine knotige Prostata. Knotig kann man hier sagen, weil sich das Bindegewebe so stark windet - das ist nicht normal. Auch die sehr großen Lumina sind nicht normal.

Hauptmerkmale der Prostatahyperplasie:

  • Knotige Architektur: Das Bindegewebe windet sich unregelmäßig
  • Vergrößerte Lumina: Die Drüsenlumina sind deutlich erweitert
  • Stromale Proliferation: Vermehrung des Bindegewebes

Diagnose: Es zeigt sich, dass in der Prostata eine Hyperplasie stark an der Proliferation des Bindegewebes zu sehen ist.

Histopathologisches Bild: Prostatahyperplasie mit knotiger Architektur Normales Bild einer Prostata, aus im Präparat zu sehen. Unverknotet und kleiner im Lumen, keine mesenchymlae Prolifertaion Histopathologisches Bild: Prostatahyperplasie mit knotiger Architektur Die Epithelzellen an sich sind dabei nicht als besonders Hyperplastisch zu erkennen Histopathologisches Bild: Prostatahyperplasie mit knotiger Architektur Teilweise lassen sich auf dem Präperate jedoch auch Lymphozytäre infiltrate erkennen Histopathologisches Bild: Prostatahyperplasie mit knotiger Architektur
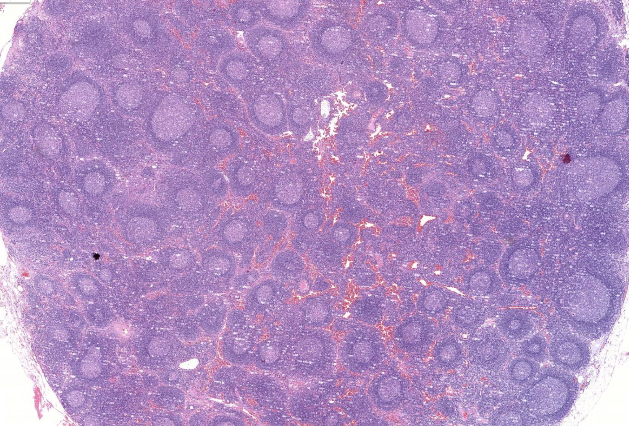
40) Z651 Follikuläre Hyperplasie (LK) - Beschreiben Sie die histopathologischen Merkmale.

Zu sehen ist auch wieder eine Hyperplasie, diesmal in einem Lymphknoten. Warscheinlich eine Reaktive Antwort auf eine Infektion

Auffällugkeit der Hyperplasie: Es sind sehr viele Keimzentren, diese sind sehr variabel groß und überallall im Lympgknoten zusehen Histopathologisches Bild: Prostatahyperplasie mit knotiger Architektur

In den Keimzentren kann man untergegangen Lymphozyten erkenn, die von Makrophagen aufgefressen werden. Man nennt diese Sternhimmelmakrophagen

Immer wenn man Sternhimmelmakrophagen findet ist es pyperplastisch und ein stückweit noch physiologisch, anzuwenden als Trennung zum Karzinogenen Vorgängen Histopathologisches Bild: Prostatahyperplasie mit knotiger Architektur
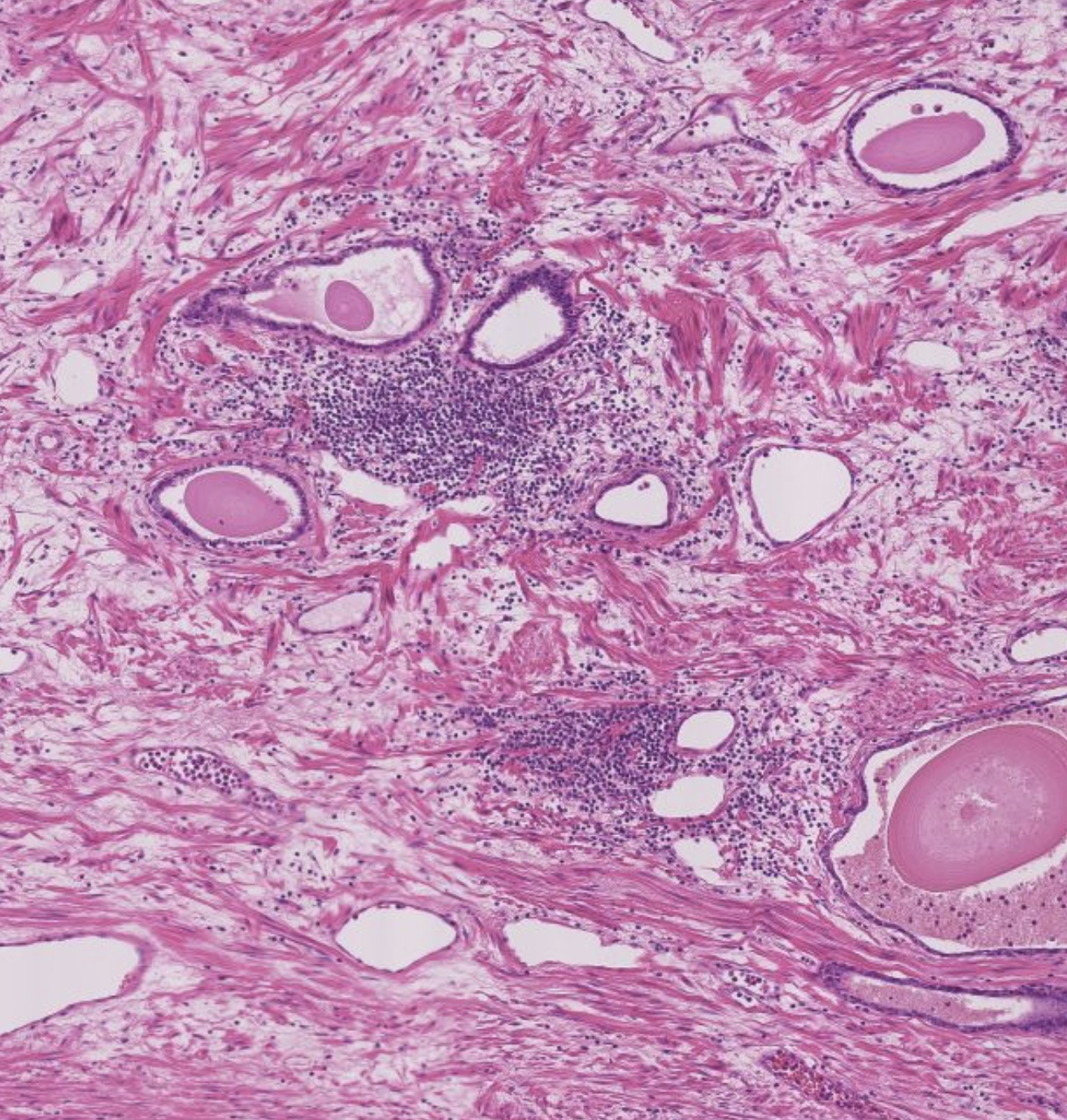
41) Z698 Pankreatitis - Beschreiben Sie die histopathologischen Merkmale.

Zu sehen ist eine Pankreatitis. Hier soll es um besonders um die Fettegwebsnekrose gehen. Eine Lipolytische Fettgewebsnekrose, der Pankreas verdaut sich quasi selber, denn bei der Entzündung des Pankreas werden die Pankreasenzyme die sonst in den Dünndarm geleitet werden

Hier betrifft die Nekrose erstmal nur die Fettzellen, würde aber auch auf das Paarenchym übergehen. Es zeigt sich außerdem Lymphozytäres infiltrat im sinne von neutrophilen Granulaten Histopathologisches Bild: Prostatahyperplasie mit knotiger Architektur Trypsinische Parenchymnekrose Das aktivierte Trypsin führt zur Proteolyse (Eiweißspaltung) des Pankreasparenchyms (der Drüsenzellen, Gefäßwände usw.). Diese Zerstörung des Pankreasgewebes nennt man tryptische Parenchymnekrose. Histopathologisches Bild: Prostatahyperplasie mit knotiger Architektur
42) Besprechung der Präperate

Audio-Erklärung zur Pankreatitis: